2022.09.11
はじめに
皆様こんにちは。ホワイト歯科クリニックです。 今後こちらのブログでは、歯科や特に歯周病、インプラントについての正しい知識を皆様に知ってもらうべく、当院での診療体制も混じえながら広く情報……
2022.09.11
皆様こんにちは。ホワイト歯科クリニックです。 今後こちらのブログでは、歯科や特に歯周病、インプラントについての正しい知識を皆様に知ってもらうべく、当院での診療体制も混じえながら広く情報……
2025.12.31
皆様2025年はどんな1年でしたでしょうか。 筆者は今年の6月30日をもって晴れてテキサス大学ヒューストン校の歯科臨床大学院を卒業し米国歯周病インプラント専門医になり、8月よりアメリカネブラス……
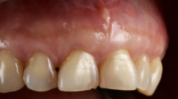
2025.12.31
これまで歯肉退縮についてお話をしてきましたが、今回はその治療法としての歯周形成手術(特に根面被覆術)についてです。歯肉や歯槽粘膜の形態・質・位置を改善することを目的とした歯周外科の総称です。主な目的……
2025.07.29
先日、テキサス大学ヒューストン校において、歯周病専門医プログラムの卒業式が行われ、筆者も無事にこの節目を迎え晴れて米国歯周病専門医になることができました。歯科医師を志すようになった原点には、院長であ……
2025.07.28
歯ブラシの歴史:紀元前から現代まで 歯ブラシは何千年も前から使われており、最古の記録は紀元前1600年ごろの中国に遡ります。当時は動物の骨や木を柄に使い、毛は豚やイノシシの剛毛でした。18世紀……
2025.01.07
これまでは歯周病や虫歯そして歯肉退縮についてお話をさせていただきましたが、前回からインプラントについてお話をしています。今回はインプラントと天然歯との違いはどのようなものなのかお伝えします。インプラ……